自費で作った4年前の義歯も、今年作った義歯も合わない、外れる、痛みがある。とても入れていられない。89歳なので、体が動ける間にきちんと食事ができるような義歯治療をしたいと思っている。(80代女性)
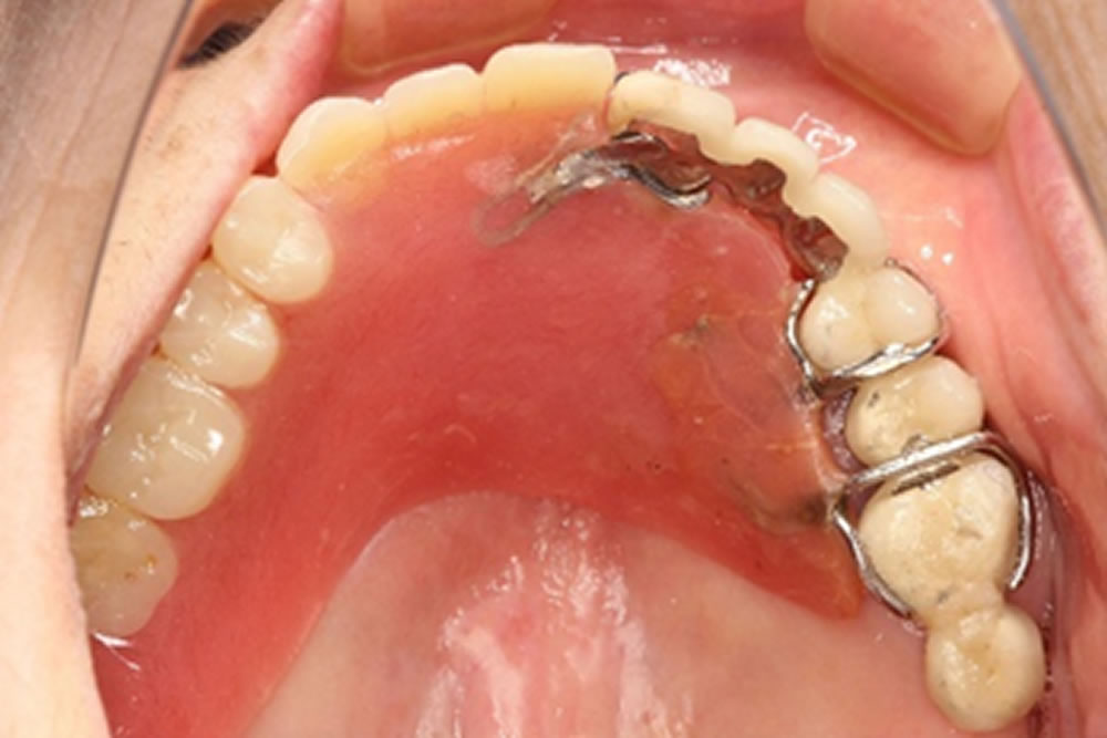
初診時の状態
【今までの経過と初診時の状態】
患者さんは89歳の方です。4年前、自費治療の義歯を入れましたが、作った当初からまったく合わず、調整に行っても良くならない歯科医院だったため、別の歯科医院に移ったそうです。
そこでは「かみ合わせが決まっていないので難しい」と言いながら、とりあえず保険の義歯を作ってくれましたが、すぐに外れてしまい、あまりにも分厚くて口に入れていられない状態だそうです。
萩原歯科医院に来る直前にも、もう一軒の歯科医院に相談に行きましたが、「今まで治してある歯もすべて、治療が必要で、1年以上かかる。顎の土手も痩せている。歯の根が飛び出ているところもある。難しく、時間がかかる。」と言われ、そこでの治療はしなかったそうです。
患者さんは、義歯が落ちる・咬みにくい・痛みがある・すぐせき込んでしまう・違和感が大きくて長く入れていられない、という義歯の問題だけでなく、残っている自分の歯の周囲歯肉の腫れと出血、痛み、など、多くの問題を訴えていました。
なにより、きちんと食事がとれる義歯を、通院ができる間に作りたいという強い思いをお持ちでした。
歯の終活を考えた治療方針
萩原歯科医院では、以前から、患者さんが通院できなくなった場合のことを考えながら治療の計画を立てます。歯の治療には、何回も通院しなければなりません。高齢の方の全員ではありませんが、いつ、歩けなくなるか、外出できなくなるか、いつまで歯科治療に通えるかわかりません。施設に入所する場合もあります。
私たちは、高齢者の口腔状況と問題点を10年以上前から勉強し、実際の入所者の口腔ケアも見てきたことから、高齢者の口腔ケアの難しさ、歯や義歯のトラブルが起きたときの対応の困難さなど、元気に通院できなくなった時のことを考慮して、治療の計画や義歯の設計をすることの重要性を強く感じています。
施設に入ってから状態が悪くなる歯がある場合には、もし、抜歯になっても往診の歯科医師が簡単に対応できる設計を考えることが必要です。いわゆる【歯の終活】です。
この患者さんも治療後に施設に入ることになり、そこで義歯を落として義歯が割れてしまいました。ご本人は萩原歯科医院まで来られませんが、ご家族に義歯だけ持ってきてもらって元通りに修理をし、問題なく元通りに食べて話して、使えるようにしました。
すぐにダメになった、という相談の方も多くいらっしゃいますが、ひょっとしたら、5年後、10年後までの状況、歯がダメになったり壊れたりするリスク、歯がダメになった時の対応方法まで、考えが及んでいない治療だったのかもしれません。
高齢の方は特に、5年後、10年後を考えた治療が必要だと思います。
治療の進め方
●残っている歯の検査診断をして、治療の計画を立てる
患者さんは、残っている歯にも、歯周病、根尖病巣、虫歯、などいくつもの問題がありました。歯周病が進行して歯肉の腫れや出血があるにもかかわらず、ブリッジになっているために歯の動揺が表れにくく、丁寧な検査と診断をしないと問題があることを見過ごす可能性がありました。
当院では、治療の前に丁寧な検査を行い、使える歯と使えない歯の診断をして、治療の計画を立てます。患者さんは高齢のため、娘さんにも同席していただいて、検査結果と、治療計画について説明をしました。
治療計画は、年齢を鑑み、今後、介護が必要になって通院が困難になった場合に、残した歯が抜歯にならないくらい丈夫な歯かどうか、義歯の調整が、初めて対応する往診の歯科医師でも調整可能な義歯の構造にしておくこと、を考えて作成しました。
治療方針
患者さんは、高齢のため、高血圧や腰椎頸椎の持病があり、数種類の薬を服用していました。現時点で進行した歯周病や、根尖病巣からの排膿がある歯は、現時点で症状がなくとも、悪化して抜歯が必要になる可能性があり、その時に抜歯ができる状態かどうかわかりません。外出できない状態になるかもしれません。
通院ができなくなった時のことを考えて、安心して残せる歯以外を整理することにし、適合の良く、食事や発音の時に動きにくい義歯を作製する計画を立てました。加えて、現義歯の審美面の改善も行いました。
治療前後の比較
治療後の感想
新しい義歯は、なんでも食べられて、一日中口の中に入れられるようになった。何より、食事をきちんととれるようになったことが、嬉しい。








