【③義歯治療編】2年前ブリッジが取れたが体調が悪くて治療に行けず、どんどん状態が悪くなった。(40代女性)
義歯治療編
※この患者さんの治療は、段階を踏んで行ったため、以下の3つに分けて詳細を掲載しています。
【患者さんの訴え】
- かかりつけの歯科医院には、何十年も毎月治療に通っていろいろな治療をしてきた。痛い部位があって訴えても、その部位の対応は何もせず、他の部位の治療ばかりしていた。
- 治療をしても、次々と悪くなって、歯もなくなっていったが、歯科医師からは「あなたは歯ぎしりをするから、ダメになるんだ」と、歯の治療がうまくいかないのは、自分の歯ぎしりが悪いせいだと言われていた。
- 2年前、ブリッジが取れてしまったが、歯医者が怖くて足が向かず、体調も崩して歯科医院に通うことができなくなった。その後、残っていた歯も抜けたり、傾いたりして、状態がどんどん悪くなった。
- 1週間前からは、上顎の残っている前歯が下の方に伸び出てきて、下唇に咬みこんで傷を作っている。1ヵ月後から、新しい仕事が始まるので、何とかしたい、できるだけ早く治したい。
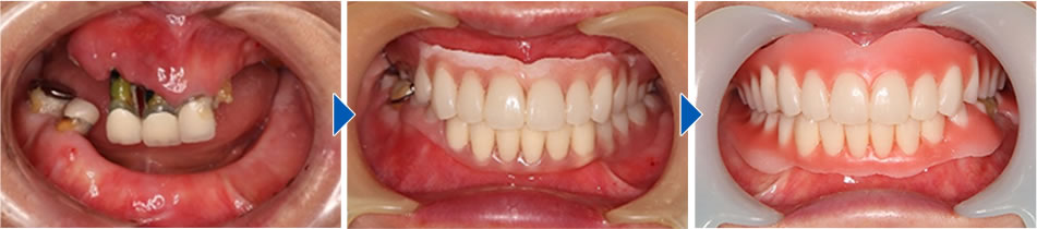
【②緊急対応編】で、応急の即日回復義歯を装着し、審美面と食事について、ある程度は回復できました。抜歯後の傷の治りも確認してから、本格的な義歯治療としての、機能審美調整義歯治療に進みました。
機能審美調整義歯治療では、時間をかけて、型取り(印象)や咬合採得、排列確認(歯並び確認)を行いながら、より自然な口もとと、磁石装置を利用した安定性を高めた義歯治療を行いました。口元の見え方、歯の見え方については、正面からだけでなく、横顔の写真と、歯を見せて笑顔になった際の見え方の写真も撮影し、患者さんにも鏡を持っていただいて確認しながら慎重に検討して、決めていきました。
下顎義歯には、臼歯部の2本の歯に磁石装置を使い、安定性を高める工夫をしました。治療後は、残した歯の維持管理が重要で、義歯の確認もしながら、メンテナンスに通院していただいています。
治療後の患者さんの感想
ここで治して良かった。
以前から、歯が悩みで、歯を見せないように話をしていました。一時期は、「もう、どうでもいいや」という時期もありました。今は、以前できなかった外食もできるし、仕事もできる、こんなに変われたのは信じられないくらいです。人間にしてもらった、という感じです。
下の義歯の磁石もパチッと付いて、とても快適で、安心です。困っている人には、すぐに歯科医院に行きなさい、と言いたいです。
悩んでいるとき、ものすごいたくさんのサイトを見ましたが、ここのサイトの症例は、行こうという気にさせてくれました。
治療後の良い状態を維持
治療後、患者さんは、まったく悪くならずに、義歯も快適に生活していらっしゃいます。今まで治しても治してもダメになっていったのに、なぜ、今回は悪くならないのでしょう?






