【②緊急対応編】2年前ブリッジが取れたが体調が悪くて治療に行けず、どんどん状態が悪くなった。(40代女性)
緊急対応編
※この患者さんの治療は、段階を踏んで行ったため、以下の3つに分けて詳細を掲載しています。
【患者さんの訴え】
- かかりつけの歯科医院には、何十年も毎月治療に通っていろいろな治療をしてきた。痛い部位があって訴えても、その部位の対応は何もせず、他の部位の治療ばかりしていた。
- 治療をしても、次々と悪くなって、歯もなくなっていったが、歯科医師からは「あなたは歯ぎしりをするから、ダメになるんだ」と、歯の治療がうまくいかないのは、自分の歯ぎしりが悪いせいだと言われていた。
- 2年前、ブリッジが取れてしまったが、歯医者が怖くて足が向かず、体調も崩して歯科医院に通うことができなくなった。その後、残っていた歯も抜けたり、傾いたりして、状態がどんどん悪くなった。
- 1週間前からは、上顎の残っている前歯が下の方に伸び出てきて、下唇に咬みこんで傷を作っている。1ヵ月後から、新しい仕事が始まるので、何とかしたい、できるだけ早く治したい。
今までの経過と初診時の状態
長く通信して治療をしていたもののお口の状態は良くなく、ブリッジが脱落しても歯科医院が苦手なことで、困って相談にいらした40代の患者さんです。
治療の進め方(患者さんへの治療計画説明)
まず、丁寧な検査を行い、残っている歯の中で、使える歯と使えない歯の診断をして、治療計画を立てました。
審美性(見た目)の回復を早急に行う必要があると判断し、患者さんも、それを第一に希望され、まずは、歯を残した状態で印象(型取り)他の処置を行って、抜歯後すぐに装着できる応急の即日回復義歯治療を行うことにしました。
抜歯後の傷の治りを待って、改めて時間をかけて、歯並びなども丁寧に確認する機能審美調整義歯治療を行う2段階の治療の提案をし、患者さんはその進め方で行うことを希望されました。
抜歯後すぐに装着する応急の即日回復義歯治療
応急の即日回復義歯を作製
応急の義歯の場合、細かい排列(歯並び)確認はできないため、50~60枚の写真を撮影して計測をして排列(歯並び)を決めていきます。
印象(型取り)で歯が抜けないような前処置をしての印象(型取り)を行い、咬合採得(噛み合わせの状態を決めること)、写真撮影を行い、専門的技術を持った技工士との打ち合わせを重ねて、できるだけ審美性を回復するような応急の即日回復義歯を作製しました。(義歯が出来上がるまでの間、患者さんは今まで通りの歯が残った状態で生活をしていただきます。)
抜歯したその日のうちに、作製しておいた即日回復義歯を装着する
抜歯後すぐに装着できる義歯の準備ができてから、抜歯をし、すぐに応急の義歯を調整、装着しました。
抜歯をした当日から1~2週間くらいは、傷の痛みや腫れがありますが、応急の義歯が入るので、歯が抜けたままにはならず、審美性(特に前歯の審美性)が大きく損なわれることはありません。
ただし、応急の義歯のため、機能面や審美面が十分に回復できるわけではなく、装着後、抜歯後の傷の治りを待ちながら、少しでも使いやすく生活していただけるよう、調整をしていきました。
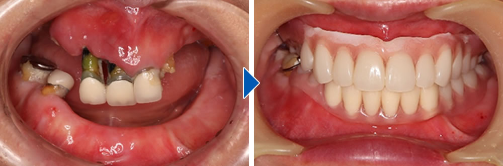
即日回復義歯 治療前・治療後
「今までは歯並びが嫌でずっと口紅を塗れなかった。今日はとてもきれいになったので、口紅を買って帰ります」
抜歯とともに、応急の義歯を装着し、鏡を見て確認していただいたとき、涙を浮かべながらおっしゃった言葉です。
咬合の高さの修整や歯並び(排列)確認はできない義歯ですが、写真撮影と計測によって、できるだけ自然な口元になるように作製したため、患者さんにとても喜んでいただけて、私たちも、とてもうれしくなりました。
応急の即日回復義歯装着後、抜歯後の傷の治りを確認し、十分な時間を取って、丁寧に時間をかけて歯並びの確認も細かく行い、上下顎の本格的義歯治療を行っていきます。
この患者さんは、奥の歯を失ってから、咬合(噛み合わせの高さ)が低くなり、鼻と顎の長さが、この方の本来のお顔より短くなっていました。
時間をかけて行う義歯治療では、患者さんに鏡を持ってもらって、歯並びや歯の角度、横顔の状態を確認してもらい、できるだけ自然な口もとの見え方に歯の位置や長さを微調整していきます。
患者さんは、次の義歯治療を装着した途端「わぁ、四角だった顔がきれいになった」と、とても喜ばれていました。患者さんが歯を悪くする前の、本来のお顔の状態に少しでも戻すことができたようで、喜んでいただけて、私たちもとても嬉しくなりました。
この部分は【③義歯治療編>>】で詳しく説明します。






